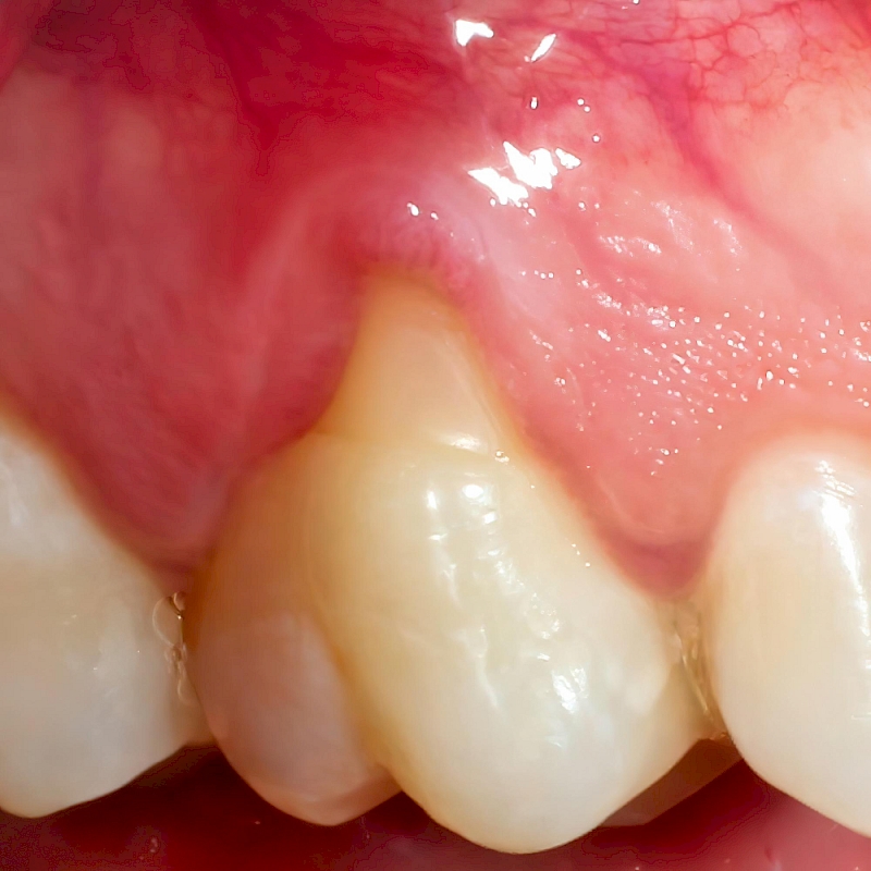
Gingival Recession
The gums are protective barriers on the teeth.

The gums are protective barriers on the teeth.
Gingival recession is more common, especially in people with thin gums. Apart from this, gingival recessions, are caused by tartar accumulation, excessive tooth clenching habit, hard and faulty tooth brushing, activation of the gum by the lip and cheek muscle ligaments and excessive forces seen during orthodontic treatment. In individuals with gingival recession, sensitivity to hot and cold, decays on the exposed root surface and aesthetic problems can be seen.
Today, the treatment of gingival recession has a very high success rate in the hands of physicians specialized in this field. The first step in the treatment of gingival recession is to determine the cause of the recession and to eliminate the factor. In the second stage, the root surface is covered with the appropriate surgical technique and the third stage is to motivate the patient in terms of oral care in the postoperative period.
The lost gum tissue is usually replaced by gum transplantation taken from the upper palate by integrating it into the area where the gum is extracted. At this stage, connective tissue grafts taken from the upper palate and free gum grafts are integrated into the root surface by the specialist physician with special micro-surgical and suture techniques. Gingival recession is repaired to provide an aesthetically correct appearance, to protect the opened tooth root surfaces again and to prevent gingival recession in that area by thickening the thin gums.


